雙和醫院治癌新突破!DC-CIK細胞療法 癌末病患見曙光
2024/12/18 09:20:10文/品觀點編輯中心
70多歲的賴先生,退休後積極參與社區里內的公益及登山健行活動,身體健康硬朗,半年前因胸骨疼痛前往就醫,經醫師胸部X光及切片檢查後,確診為肺腺癌四期,當下心情大受打擊,身體也因腫瘤快速變化壓迫到肺部而出現胸悶、嚴重氣喘等症狀,嚴重影響生活。回憶起當時,賴先生一度以為生命隨時會畫下休止符。
在臺北醫學大學部立雙和醫院胸腔外科、血液腫瘤科與細胞治療中心等專業醫療團隊的評估與建議下,賴先生先進行肺部腫瘤切除手術,同時安排基因檢測找尋適合的標靶藥物,並規劃為期三個月的DC-CIK細胞治療,透過合併治療終於讓腫瘤在短時間內縮小,如今已不須使用止痛藥及專人照護,每天早晚能夠健走及運動。對此,賴先生及家屬非常感謝醫護人員的治療與照護,幫他擺脫疼痛,再次體驗生活美好。
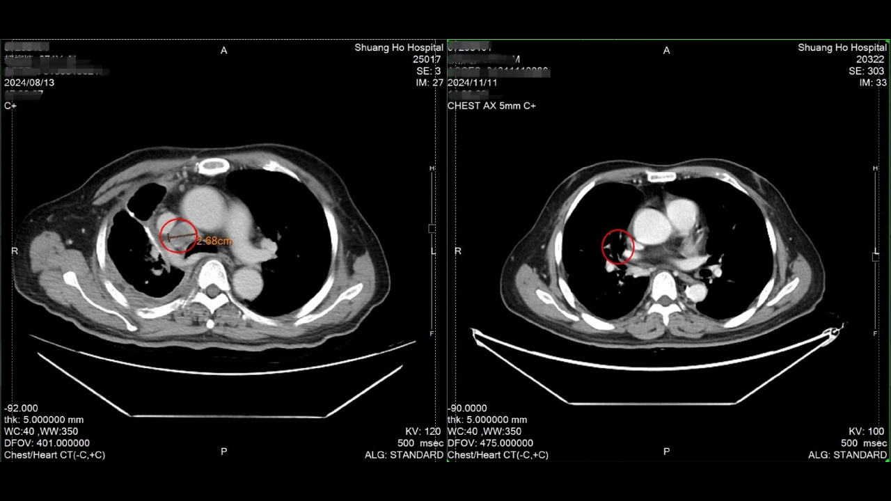
雙和醫院血液腫瘤科主任謝燿宇醫師指出,從治療前的影像檢查中可明顯看到肺部腫瘤持續擴大,除透過基因篩檢找出合適的標靶藥物外,合併搭配每劑間隔兩周,共六劑的DC-CIK細胞回輸治療也是關鍵,後續透過電腦斷層檢查可明顯看到腫瘤縮小,部分腫瘤甚至消失;除療效顯著外,更重要的是幾乎無副作用產生,精神與體力並無影響,未來只需按照醫囑定期回診即可。
雙和醫院細胞治療中心主任莊博雅醫師表示,DC-CIK細胞治療原理是結合具有辨識抗原及呈現的樹突細胞(DC)與毒殺能力的細胞激素誘導殺手細胞(CIK),在體外共同培養並大量擴增後,將活化的免疫細胞回輸到患者體內進行癌細胞毒殺作用,DC-CIK不僅能攻擊癌細胞,同時也會活化自身的免疫系統,對於長期接受癌症治療的癌友是一個可嘗試的新選擇。

↑圖說:經DC-CIK細胞治療治療後檢查發現腫瘤明顯縮小,部分腫瘤甚至消失。(左圖治療前,右圖治療後)(圖片來源:雙和醫院提供)
本次賴先生使用的DC-CIK細胞治療是採用沛爾生醫GTP認證實驗室所生產的細胞產品,該公司為台灣少數專營細胞培養之技術研發、細胞治療之臨床應用的生技公司;雙和醫院於2023年年初成立細胞治療中心,為患者的治療療程及治療安全性進行嚴謹的把關,並且持續引用先進醫療觀念、技術及相關人才,提供癌症患者更多元的治療機會。

↑圖說:完成近半年的療程後,賴先生順利出院,與主治醫師謝燿宇醫師(前排中)及照護團隊一同合影留念。(圖片來源:雙和醫院提供)


