三尖瓣重度閉鎖不全! 六旬男反覆發高燒併發脾臟腫大
2025/12/25 08:57:52文/由NOW健康授權轉載
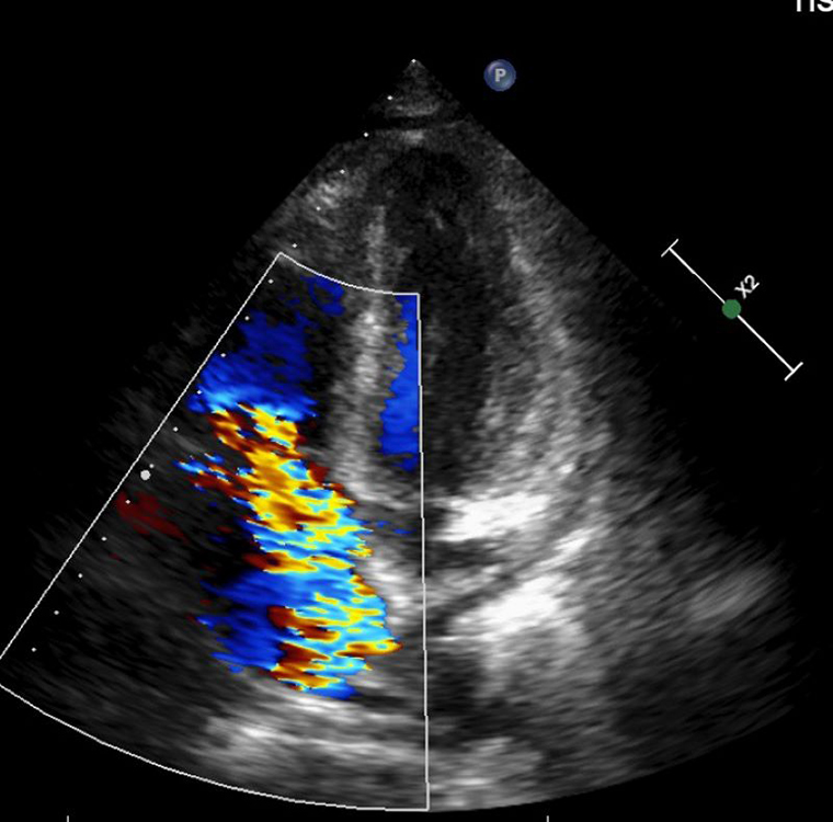
【NOW健康 楊芷晴/新北報導】63歲的林先生去年底開始出現不明原因的反覆高燒,多次奔波診所與各大科別求診,卻始終找不到原因,因而來到台北慈濟醫院感染科就醫。經抽血檢查顯示白血球、血小板及血紅素低下,必須輸血,但血液及骨髓等相關檢查均找不到病因,僅電腦斷層意外發現脾臟腫大與腹水。最後在住院的心臟超音波檢查中發現林先生罹患三尖瓣重度閉鎖不全,瓣膜上還長了一公分大的贅生物(即細菌感染的病灶),確診為感染性心內膜炎。

▲影像檢查發現三尖瓣逆流。(圖/台北慈濟醫院提供)
三尖瓣重度逆流成因多元 涵蓋感染性心內膜炎、慢性呼吸道疾病等
在會診心臟血管外科後,台北慈濟醫院楊凱文醫師替林先生更換人工生物瓣膜,術中同步清除感染病灶。手術出院後,門診經過一段時間的追蹤,病人的血球數值明顯回升,感染也治療完全,順利恢復健康。
三尖瓣是位於心臟右心房與右心室之間的重要瓣膜,負責讓血液從右心房單向流入右心室,防止血液倒流,功能上與左心房和左心室之間的二尖瓣類似。楊凱文醫師指出,造成三尖瓣逆流的原因繁多,包括風濕性心臟病、感染性心內膜炎、二尖瓣或主動脈瓣疾病、心律不整,甚至是長期抽菸、慢性呼吸道疾病、自體免疫疾病均可能導致三尖瓣逆流。
若三尖瓣功能受損,血液逆流回右心房,使右心房壓力增加,進而影響全身血液回流,就會導致器官壓力上升,當逆流非常嚴重且延遲治療,少部份病人甚至可能導致肝脾出現問題,如肝硬化、脾臟腫大等。而脾臟是造血器官,若因此腫大造成血球細胞破壞,就可能導致全身性血球減少,發生如林先生一般的情況。
7至8成有輕微三尖瓣逆流 當心長期不明原因水腫、疲倦、反覆發燒
三尖瓣逆流並不少見,國外統計指出,有高達7至8成的健康人群可見輕微三尖瓣逆流;但中重度以上的三尖瓣逆流發生率則較低,約占整體人口的1%至2%。大多數患者初期多無明顯症狀,直至中重度以上才會有輕微水腫出現,因此許多人往往會忽略其嚴重性,待出現嚴重問題時多已經變成重度逆流。
楊凱文醫師表示:「三尖瓣逆流大多可以用藥物控制,若是進展為重度逆流且藥物治療效果不彰,同時合併右心室功能異常,就會需要手術,但臨床案例不多。」診斷上,會以超音波檢查為主,手術則會視病人狀況選擇開胸或微創手術。以林先生為例,考量病人血球數值極低、免疫力差,擔心術中出血,醫療團隊以開胸手術替其更換人工瓣膜,並同步清除感染的贅生物。
楊凱文醫師提醒,民眾若出現長期不明原因水腫、疲倦、反覆發燒等症狀,應積極就醫評估是否有心臟疾病的問題,排除感染可能;若有已知的心臟瓣膜問題也務必定期回診,好好追蹤,及早診斷、介入治療,以免小病拖成大病。
# 首圖來源/台北慈濟醫院提供
◎原文,本文內容已獲 NOW健康 授權,未經同意禁止取用轉載。

