搜尋結果
方文琳罹患食道癌!前夫于冠華早知情 坦言:很不捨
藝人于冠華的前妻方文琳日前透過社群媒體宣布罹患食道癌,引發各界關注。于冠華得知此事後,坦承感到難過,但仍勸方文琳要保持樂觀。他強調與方文琳的「親情」是一輩子的,這關係永遠都不會消失。
2024/09/27
方文琳自曝罹患食道癌!嘆「愛睡前喝高粱、喝熱湯」
資深藝人方文琳自曝罹患食道癌,震驚演藝圈。方文琳表示,今年6月底進行全身健檢,報告顯示癌指數高達9.8,進一步切片檢查確診為癌前病變。所幸及早發現,經評估後決定以內視鏡黏膜下剝離術進行治療,目前已順利出院並接受藥物治療。
2024/09/26
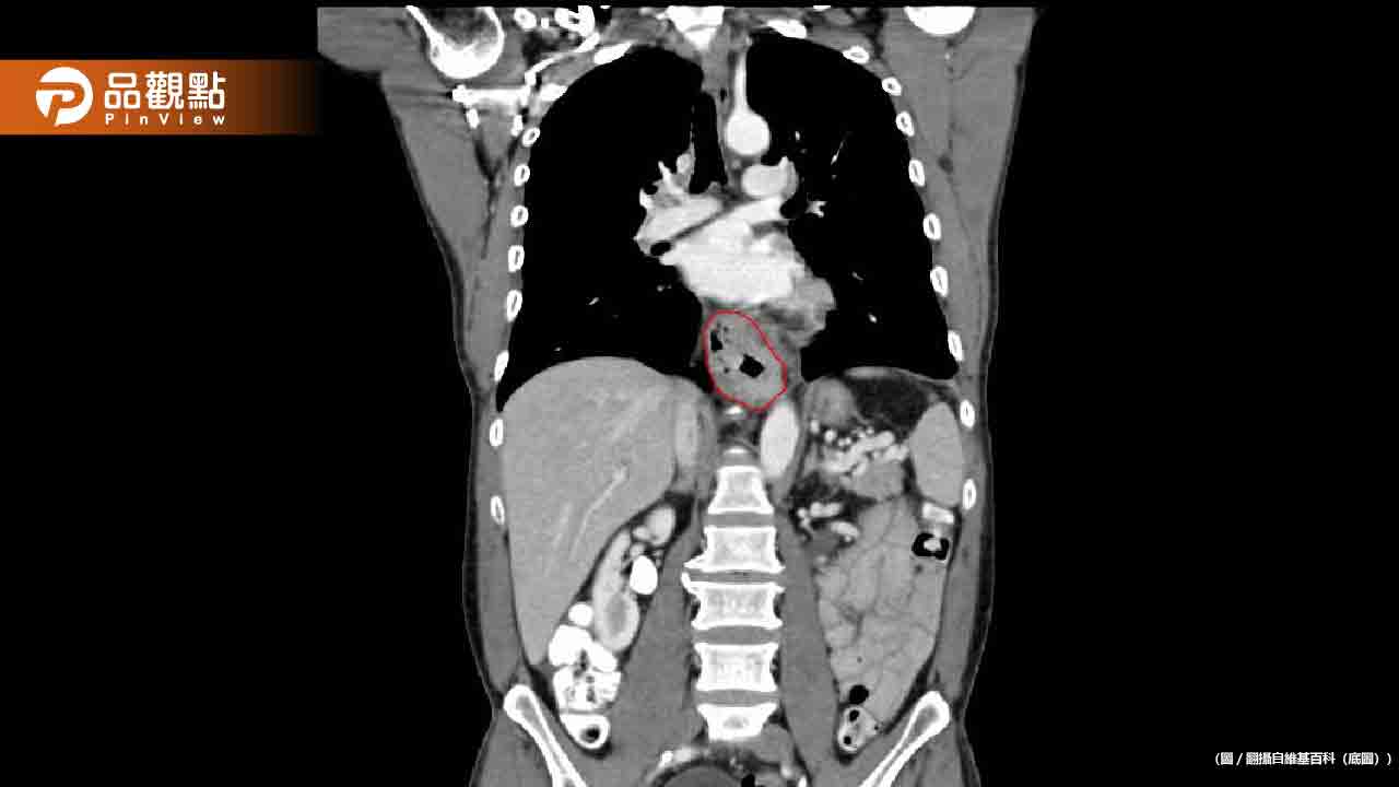
6旬婦半年狂掉8公斤!一查竟「食道癌末期」
近日,一名60歲婦人因吞嚥困難、半年內體重狂掉8公斤就醫,經檢查後被診斷為食道癌末期,且已轉移至肺部和肝臟。醫師在詢問患者的生活習慣後,發現她長期存在高致癌風險的不良行為。
2024/09/19
食道癌無聲奪命!男性九成患者 專家揭致命因素
知名港星徐少強本月因食道癌病逝,專家提醒,男性患者占食道癌罹患人數的九成以上,主要集中在50至70歲之間,顯示這個年齡段的男性面臨較高風險。
2024/09/16










