跨海求助七賢脊椎外科 港女雙髖關節手術一次解決
2024/10/14 16:18:36文/記者 韓文明
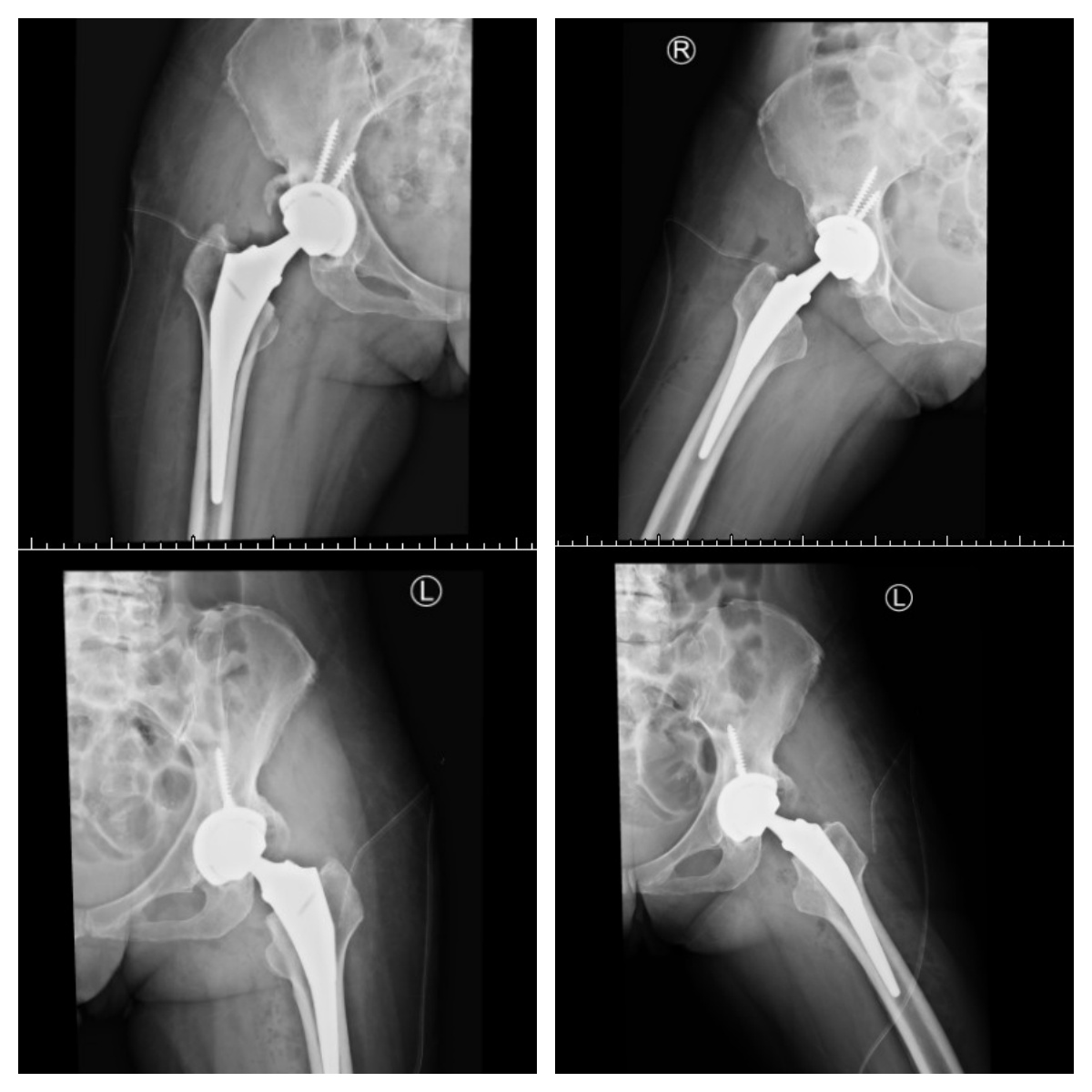
來自香港62歲的阮女士,受雙髖疼痛折磨多年,且復健效果不符期待,讓疼痛不已的她難以忍受。家人及友人不捨阮女士承受如此大的痛苦,帶她跨海至高雄七賢脊椎外科醫院求診並安排進行手術。
阮女士說,知道自己雙側髖關節都需要手術,提前做了很多功課,例如:詢問朋友意見、上網搜尋資料等。她表示看到七賢脊椎外科醫院於2020年舉辦的微創髖膝關節手術中心暨正前開人工髖關節訓練中心揭牌典禮新聞,加上友人推薦七賢脊椎外科的醫療技術,讓本來很害怕及擔憂的她,鼓起勇氣從香港來台接受手術。
七賢脊椎外科醫院骨科副院長楊華偉表示,台灣的醫療技術世界有目共睹,無論技術及材料的先進都不會輸給國外,人工髖關節正前開手術在美國已正式成為過半數骨科醫師的選擇,七賢脊椎外科醫院更是高屏地區最早開始執行的醫院,目前造福的病患已不下數百例。
在院長黃旭霖帶領下,七賢脊椎外科醫院預計明年準備引進羅莎電腦導航人工正前開髖關節手術,期許成為高雄第一間髖膝人工智能導航手術醫院。楊華偉表示,正前開人工髖關節手術好處多,不破壞肌肉,恢復快,平躺手術病患舒服且長短腳好控制。
圖說:香港女性病患雙側髖關節手術順利。(圖片來源: 七賢脊椎外醫院提供)
相關新聞


